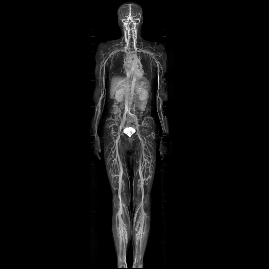
Conditions Detectable with Our Whole Body MRI
Simple Process. Profound Insight.
Tailored to You
Comprehensive Clarity
Immersive Experience
Book
Book
01.Scan
Scan
02.Review
Review
03.Results
Results
04.Advanced 3T MRI
Whole Body Scan
$2,800
When Should You Get A Whole Body MRI?
Proactive health management
You want a complete overview of your body before symptoms appear.
Peace of mind
You’d like reassurance that everything looks healthy and normal.
Family health awareness
You’re healthy but have a family history of certain conditions.
Tracking changes over time
You’re interested in monitoring your health and establishing a baseline.
Longevity and optimisation
You see prevention as a key part of living a longer, healthier life.
1 in 20 scans result in a potentially life-saving diagnosis
For unexplained symptoms, genetic and family history and a proactive health mindset.
Whole body clarity.
Personalised for you.
Every detail matters.
FAQ’s
Why choose Brisbane Radiology for my Whole Body Scan?
We’re a doctor-owned, radiologist-led clinic using Australia’s most advanced 3T MRI technology. Every scan is interpreted by sub-specialist radiologists for the highest level of accuracy and care. Your experience is also uniquely designed for comfort, with immersive visual media to help you relax and feel at ease throughout your scan.
Is the scan painful or uncomfortable?
Not at all. It’s non-invasive — no needles, injections, or radiation. You’ll just lie still while the scanner takes images. It can be a little noisy, but we’ll keep you comfortable.
Is there radiation?
No. MRI uses magnetic fields, not X-rays, so it’s completely safe.
Do I need a referral?
No referral is required. You can book directly with our team, or begin with a complimentary discovery call if you’d like to talk through your options. You’re welcome to nominate your preferred doctor to review your results, or we can arrange a consultation with our longevity specialist.
How long does it take?
Just under 90 minutes, plus a little extra time for your visit.
Is it safe to do every year?
Yes. It’s radiation-free and safe to repeat annually — ideal for tracking your health over time.
Can I claim it on private health insurance?
Not usually, but check with your provider as policies can vary.






